服务热线
4000 900 390
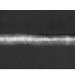
现象识别,何为咬边?
咬边是焊缝边缘母材被电弧熔化后,未能被填充金属补足而形成的沟槽缺陷。它不仅影响美观,更会削弱结构强度,是焊接中需避免的主要缺陷之一。
常见咬边




02
四大成因
咬边的产生是焊接参数、操作手法与现场条件多重因素交织的结果。 电流过大:过度熔化母材边缘 角度不当:电弧偏向一侧母材 焊速过快:填充金属来不及流动 焊材不匹配:焊条过粗或电弧过长 03 预防关键 控电流:按工艺要求精确设置 调角度:保持焊枪对中(如角焊45°) 稳速度:让熔池充分填充边缘 选对材:匹配焊条直径与焊接位置 04 修补步骤 当咬边已经产生,科学的修补方法能够挽救工件,恢复其结构完整性。 清理:打磨至露出金属光泽 补焊:使用更小电流、小直径焊条分层修补 检验:进行外观及无损检测 特别需要注意的是,对于深度超过1毫米或长度超过焊缝长度10%的严重咬边,应考虑整段焊缝的重新焊接,而非局部修补。 养成焊前检查、焊中观察、焊后自检的习惯,是避免缺陷的根本。 掌握这些要点,你就能有效应对咬边问题,提升焊接质量。
评估:检测咬边深度与长度